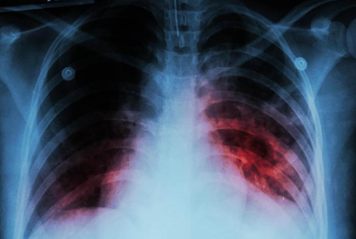
Salud En dos años se acumulan 530 casos de tuberculosis en Michoacán
Domingo, 29 Marzo 2026
¿YA ERES MIEMBRO?, INICIA SESIÓN ¡SUSCRÍBETE!

Michoacán

NOTICIAS DE Michoacán

Falta de empatía de los legisladores por muerte de Bernardo, asegura Caratachea

Apatzingán, Michoacán, miércoles 22 de octubre de 2025.- Vanhe Caratachea diputada por el PAN, señaló la falta de empatía de sus compañeros legisladores al llevarse a cabo la Sesión Solemne en Apatzingán, sin importar la carencia de seguridad en la región calentana. A manera de protesta se levantó de la Sesión Solemne junto con otros […] El cargo Falta de empatía de los legisladores por muerte de Bernardo, asegura Caratachea apareció primero en CB Televisión.

Gobiernos están rebasados por el crimen organizado: alcaldesa de Apatzingán

Morelia, Michoacán Fanny Arreola Pichardo, presidenta municipal de Apatzingán, consideró que los gobiernos han sido rebasados por el crimen organizado, esto tras el asesinato de Bernardo Bravo, líder de los limoneros del Valle de Apatzingán. En entrevista con medios de comunicación, la alcaldesa señaló que, a pesar de los esfuerzos que se hacen en materia […]

Tzintzuntzan espera 2.5 millones de visitantes para su Noche de Ánimas; consultas las actividades

El 31 de octubre se realizará la procesión de los arcos dedicados a los niños y jóvenes fallecidos, mientras que el 1 de noviembre se llevará a cabo la procesión de los arcos para los adultos difuntos La entrada Tzintzuntzan espera 2.5 millones de visitantes para su Noche de Ánimas; consultas las actividades se publicó primero en La Voz de Michoacán.

Alexis Velázquez reconoce a Moisés Navarro como nuevo coordinador de alcaldes de Morena en Michoacán

El presidente municipal de Huandacareo, Alexis Velázquez, expresó su reconocimiento y felicitación al alcalde de Yurécuaro, Moisés Navarro, quien asumirá la coordinación de los alcaldes de Morena en Michoacán. Velázquez destacó que la amistad, el compromiso y el proyecto común en favor de la transformación los unen, y confió en que Navarro continuará fortaleciendo el […] El cargo Alexis Velázquez reconoce a Moisés Navarro como nuevo coordinador de alcaldes de Morena en Michoacán apareció primero en CB Televisión.

Gobierno Estatal impulsa cultura de paz con taller en Cobaem Tingambato: SESESP

• Refuerza prevención del delito con acciones formativas dirigidas a estudiantes y docentes Tingambato, Michoacán, 22 de octubre de 2025.- Gobierno Estatal impulsa cultura de paz con taller en Cobaem Tingambato: SESESP Estatal de Seguridad Pública llevó a cabo en el Colegio de Bachilleres de Tingambato el taller “Técnicas de Mediación y Solución Pacífica de […] El cargo Gobierno Estatal impulsa cultura de paz con taller en Cobaem Tingambato: SESESP apareció primero en CB Televisión.

Santa Clara del Cobre comparte su arte y esencia en la Misión Internacional México–Colombia: Dayana Pérez

Salvador Escalante, Michoacán.- La presidenta municipal Dayana Pérez Mendoza participó en la Misión Internacional de Promoción de la Diplomacia Territorial México–Colombia, un encuentro que reunió a líderes locales comprometidos con el desarrollo, la identidad y la cooperación entre territorios. Durante su intervención, Dayana Pérez Mendoza destacó la importancia de fortalecer los lazos de aprendizaje y […] El cargo Santa Clara del Cobre comparte su arte y esencia en la Misión Internacional México–Colombia: Dayana Pérez apareció primero en CB Televisión.

Andrea Rodríguez impulsa en Pátzcuaro el talento y la unión con el Festival de Madrinas y Madrines del Cine de Oro

Pátzcuaro, Michoacán, 22 de octubre de 2025.- La presidenta honoraria del DIF Municipal de Pátzcuaro, Andrea Rodríguez, encabezó el Festival de Madrinas y Madrines del Cine de Oro, una actividad que forma parte de las celebraciones previas a la Noche de Ánimas y que busca fomentar la convivencia, la creatividad y la alegría entre las […] El cargo Andrea Rodríguez impulsa en Pátzcuaro el talento y la unión con el Festival de Madrinas y Madrines del Cine de Oro apareció primero en CB Televisión.

Fortalece SSP acciones de seguridad con estados de la región Occidente y Centro Occidente del país

Zapopan, Jalisco, 22 de octubre del 2025.- En una reunión interestatal autoridades de los tres órdenes de gobierno de los estados de Colima, Guanajuato, Jalisco, Nayarit, Michoacán y Zacatecas, acordaron reforzar la colaboración en las estrategias de seguridad y disuasión de delitos. Se llevó a cabo una mesa de trabajo entre los estados de las […] El cargo Fortalece SSP acciones de seguridad con estados de la región Occidente y Centro Occidente del país apareció primero en CB Televisión.

Apatzingán cuenta con el Congreso de Michoacán: Fabiola Alanís

Apatzingán, Michoacán, a 22 de octubre de 2025.- Las y los ciudadanos del valle de Apatzingán ¡cuentan con el Congreso de Michoacán para la construcción de la paz, desde la creación de los ordenamientos jurídicos necesarios, hasta las asignaciones de presupuestos, gestiones con los diferentes niveles de gobierno y la creación de los puentes de […] El cargo Apatzingán cuenta con el Congreso de Michoacán: Fabiola Alanís apareció primero en CB Televisión.

Articulos relacionados

En dos años se acumulan 530 casos de tuberculosis en Michoacán

Advierte el doctor Jorge Tanaka que esta enfermedad aún es un problema de salud pública La entrada E...

Pide la Iglesia católica que la Semana Santa no sea una fecha más en el calendario

Recordó que este Domingo de Ramos abre con un contraste narrado en dos pasajes del Evangelio de San...

Dos motociclistas quedan heridos al chocar contra la Glorieta 5 de mayo de Zamora

El aparatoso accidente se registró en la Avenida 5 de Mayo, justo en la Glorieta "5 de Mayo", donde...

Criminales atacan a un joven y lo dejan herido de bala en la colonia Casa del Niño, de Uruapan

Fue la noche de este domingo, cuando el muchacho se encontraba sobre la calle Márquez, hasta donde l...

RECIENTES

En dos años se acumulan 530 casos de tuberculosis en Michoacán

Advierte el doctor Jorge Tanaka que esta enfermedad aún es un problema de salud pública La entrada E...


Criminales atacan a un joven y lo dejan herido de bala en la colonia Casa del Niño, de Uruapan

Fue la noche de este domingo, cuando el muchacho se encontraba sobre la calle Márquez, hasta donde l...


Dos motociclistas quedan heridos al chocar contra la Glorieta 5 de mayo de Zamora

El aparatoso accidente se registró en la Avenida 5 de Mayo, justo en la Glorieta "5 de Mayo", donde...


Pide la Iglesia católica que la Semana Santa no sea una fecha más en el calendario

Recordó que este Domingo de Ramos abre con un contraste narrado en dos pasajes del Evangelio de San...

MAS POPULARES

Querétaro vs Puebla: Hora y dónde ver el partido en vivo

Descubre cómo Querétaro y Puebla se enfrentan en el Apertura 2025; No te pierdas el partido, conoce...


Santos vs León: Horario y dónde ver el partido de Liga MX en vivo

Santos vs León se enfrentan en un partido crucial del Apertura 2025; Descubre dónde y a qué hora ve...


FNLS revira que sí tiene diálogo con el estado y la FGE: "Si atienden el tema del maestro Leobardo retiran el plantón"

Omar Cuiriz / La Voz de MichoacánMorelia, Michoacán.- El Frente Nacional de la Lucha por el Socialis...


Ofertas de Walmart este Martes de Frescura 14 de octubre 2025

Conoce las Ofertas del “Martes de Frescura” en Walmart del 14 de octubre de 2025 con descuentos en...